Email

dopplercenter@gmail.com

Contacto

+569 76891958

Eco Doppler Sreening

Doppler Center

Eco Doppler Screening

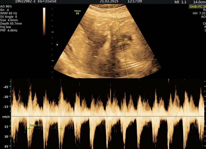
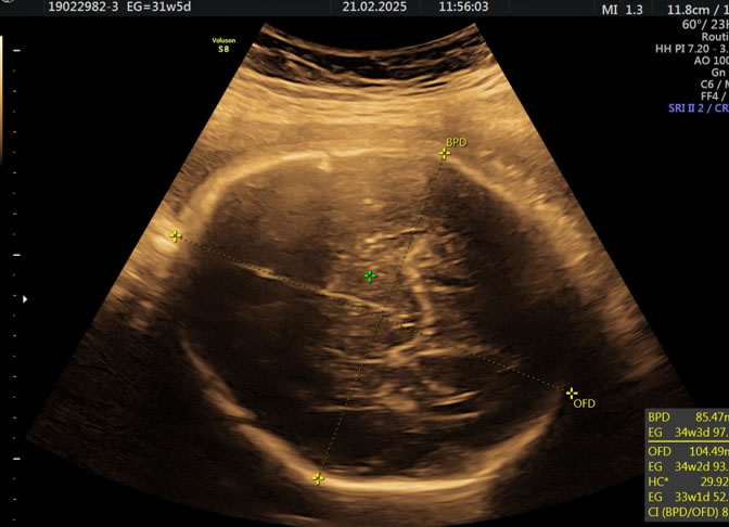
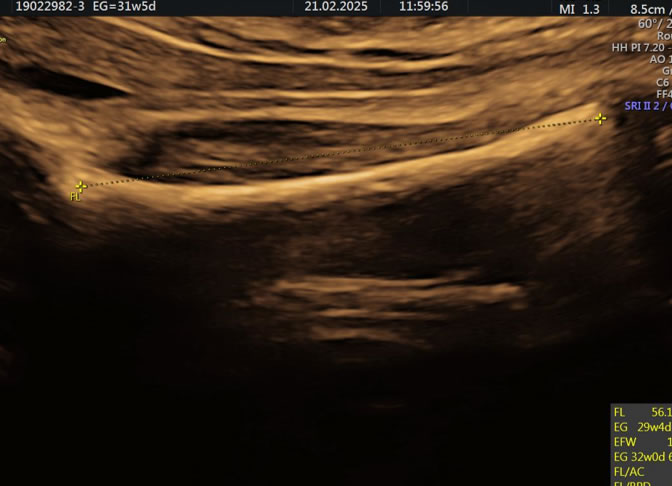
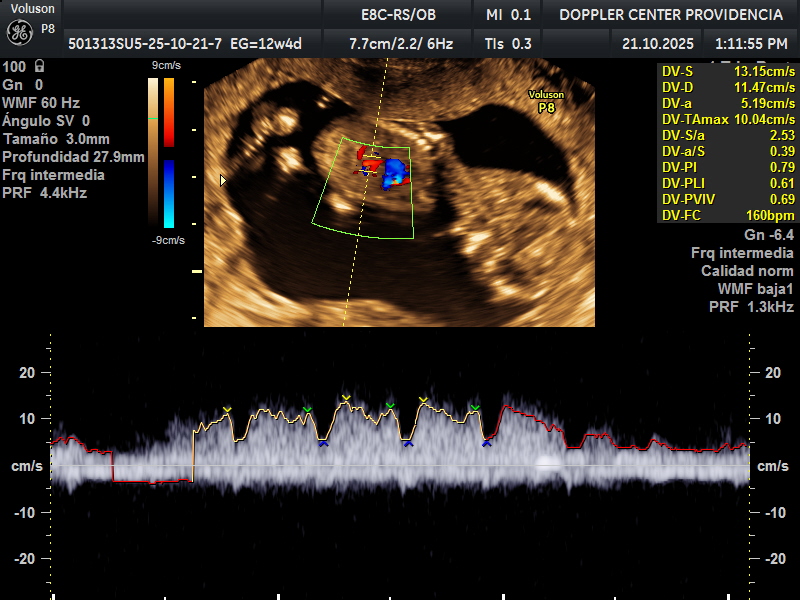
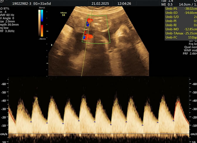
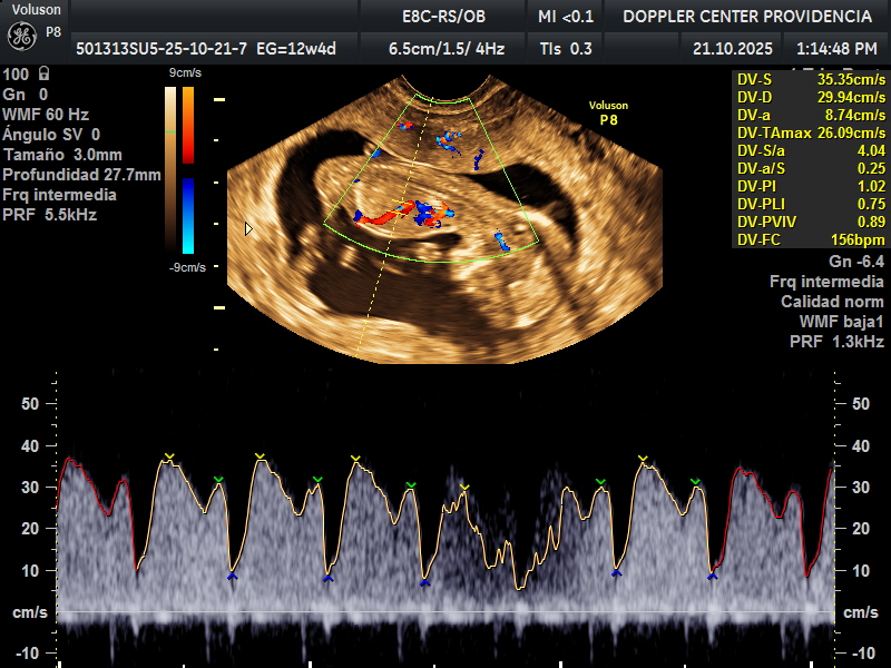
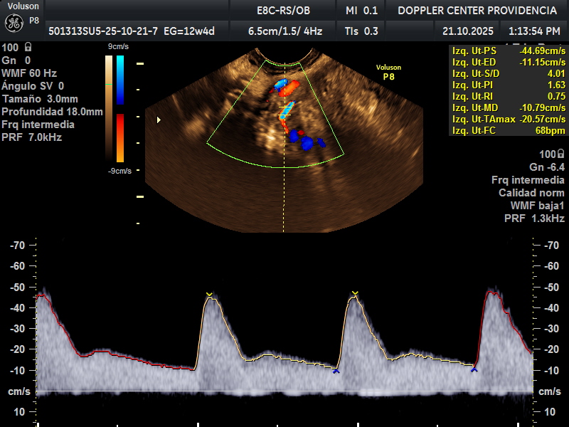
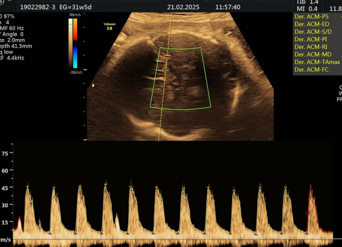
Es una técnica especializada de ultrasonido que utiliza el efecto Doppler para evaluar el flujo sanguíneo en el sistema circulatorio del feto y la madre durante el embarazo.

Se usa principalmente para evaluar el flujo sanguíneo en la placenta, el cordón umbilical y los vasos sanguíneos de la madre y el feto. Esto proporciona información valiosa sobre la salud del embarazo y la circulación fetal.

  • Eco Doppler 11-14 semanas

    Doppler Center

  • Eco Doppler 22-24 semanas

    Doppler Center

  • Eco Doppler III Trimestre

    Doppler Center